As a result of the significant disruption that is being caused by the COVID-19 pandemic we are very aware that many researchers will have difficulty in meeting the timelines associated with our peer review process during normal times. Please do let us know if you need additional time. Our systems will continue to remind you of the original timelines but we intend to be highly flexible at this time.
COVID-19 and impact on peer review
In the era of evidence-based practice, we need practice-based evidence. The basis of this evidence is the detailed information from the case reports of individual people which informs both our clinical research and our daily clinical care. Each case report published in this journal adds valuable new information to our medical knowledge.
Prof Michael Kidd AM, Editor-in-Chief
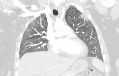
Report of the Month: Pericardial effusion and cardiac tamponade requiring pericardial window in an otherwise healthy 30-year-old patient with COVID-19
Clinicians describe a case report of a patient who initially presented with mild symptoms and stable vital signs. She returned 2 days later with worsening tachycardia and hypotension, and she had developed a pericardial effusion.
This case demonstrates that COVID-19 can affect multiple organ systems beyond respiratory complications. COVID-19, even though it enters the lung via angiotensin-converting enzyme 2, can also affect the heart and kidneys. Common COVID-19 presentations are still being elucidated, which highlights the importance of all presentations of the novel infection.
Articles
-
-
Gastric carcinoma and renal cell carcinoma as an atypical presentation of multiple primary malignancies: a case report and review of the literature
-
Genetic and histopathological analysis of transverse testicular ectopia without persistent Müllerian duct syndrome: two case reports
-
An abnormal course of the interazygos vein: a case report
-
Complex cytogenetic abnormalities in chronic myeloid leukemia resulting in early progression to blast crisis: a case report
-
Recurrent knee arthritis diagnosed as juvenile idiopathic arthritis with a 10-year asymptomatic period after arthroscopic synovectomy: a case report
-
A guide to writing case reports for the Journal of Medical Case Reports and BioMed Central Research Notes
-
Red ear syndrome precipitated by a dietary trigger: a case report
-
How to choose the best journal for your case report
-
High dose nitroglycerin treatment in a patient with cardiac arrest: a case report
A Guide to Writing and Using Case Reports
This thematic series, published in 2016, provides a valuable resource for clinicians who are considered producing a case report. It comprises of a special editorial series of guides on writing, reviewing and using case reports.
Developed by the CARE Group in 2013, the CARE guidelines provide a framework that supports transparency and accuracy in the publication of case reports and the reporting of information from patient encounters.
Aims and scope
Journal of Medical Case Reports will consider any original case report that expands the field of general medical knowledge, and original research relating to case reports.
Case reports should show one of the following:
Suitable research articles include but are not limited to: N of 1 trials, meta-analyses of published case reports, research addressing the use of case reports and the prevalence or importance of case reporting in the medical literature and retrospective studies that include case-specific information (age, sex and ethnicity) for all patients.
Article accesses
Throughout 2019, articles were accessed from the journal website more than 1.8 million times; an average of over 5,000 accesses per day.
Peer Review Mentoring Scheme
The Editors at Journal of Medical Case Reports endorse peer review mentoring of early career researchers.
If you are a senior researcher or professor and supervise an early career researcher with the appropriate expertise, we invite you to co-write and mentor them through the peer review process. Find out how to express your interest in the scheme here.
About the Editor-in-Chief
Professor Michael Kidd AM FAHMS is Professor of Primary Care Reform at the Australian National University, and Principal Medical Advisor to the Australian Government Department of Health. He is Adjunct Professor with the Department of Family and Community Medicine at the University of Toronto, Honorary Professor of Global Primary Care with the Southgate Institute for Health, Equity and Society at Flinders University, Professorial Fellow with the Murdoch Children's Research Institute at the Royal Children’s Hospital in Melbourne, and Emeritus Director of the World Health Organization Collaborating Centre on Family Medicine and Primary Care. He served as president of the World Organization of Family Doctors (WONCA) from 2013-2016, and as president of the Royal Australian College of General Practitioners from 2002-2006. He is the founder and Editor-in-Chief of the Journal of Medical Case Reports, the world's first PubMed-listed journal devoted to publishing case reports from all medical disciplines.
Annual Journal Metrics
-
Speed
117 days to first decision for reviewed manuscripts only
107 days to first decision for all manuscripts
168 days from submission to acceptance
49 days from acceptance to publication
Citation Impact
0.659 - Source Normalized Impact per Paper (SNIP)
0.255 - SCImago Journal Rank (SJR)
1.100 - CiteScore
Usage
1,834,013 Downloads
797 Altmetric mentions