- Case report
- Open Access
- Published:
Successful nonoperative management by endoscopic and percutaneous drainage for penetrating pancreatic duct injury: a case report
Journal of Medical Case Reports volume 15, Article number: 33 (2021)
Abstract
Background
Pancreatic trauma is a rare condition with a wide presentation, ranging from hematoma or laceration without main pancreatic duct involvement, to massive destruction of the pancreatic head. The optimal diagnosis of pancreatic trauma and its management approaches are still under debate. The East Association of Surgery for Trauma (EAST) guidelines recommend operative management for high-grade pancreatic trauma; however, several reports have reported successful outcomes with nonoperative management (NOM) for grade III/IV pancreatic injuries. Herein, we report a case of grade IV pancreatic injury that was nonoperatively managed through endoscopic and percutaneous drainage.
Case presentation
A 47-year-old Japanese man was stabbed in the back with a knife; upon blood examination, both serum amylase and lipase levels were within normal limits. Contrast-enhanced computed tomography (CT) showed extravasation of the contrast medium around the pancreatic head and a hematoma behind the pancreas. Abdominal arterial angiography revealed a pseudo aneurysm in the inferior pancreatoduodenal artery, as well as extravasation of the contrast medium in that artery; coil embolization was thus performed. On day 12, CT revealed a wedge-shaped, low-density area in the pancreatic head, as well as consecutive pseudocysts behind the pancreas; thereafter, percutaneous drainage was performed via the stab wound. On day 22, contrast radiography through the percutaneous drain revealed the proximal and distal parts of the main pancreatic duct. The injury was thus diagnosed as a grade IV pancreatic injury based on the American Association for the Surgery of Trauma guidelines. On day 26, an endoscopic nasopancreatic drainage tube was inserted across the disruption; on day 38, contrast-enhanced CT showed a marked reduction in the fluid collection. Finally, on day 61, the patient was discharged.
Conclusions
Although the EAST guidelines recommend operative treatment for high-grade pancreatic trauma, NOM with appropriate drainage by endoscopic and/or percutaneous approaches may be a promising treatment for grade III or IV trauma.
Background
Pancreatic trauma is a rare condition for which the optimal diagnosis and management are still under debate. The American Association for the Surgery of Trauma (AAST) scale is the most common grading system for pancreatic injuries [1], classifying them into grades I to V depending on the extent of injury, main pancreatic duct involvement, and anatomical location. Grade I/II is defined as hematoma or laceration without main pancreatic duct involvement; grade III is defined as pancreatic body or tail injury with main duct involvement; and grade IV is defined as pancreatic head injury with main duct involvement. Grade V is defined as massive destruction to the pancreatic head. The East Association of Surgery for Trauma (EAST) guidelines recommend operative management for grade III and IV pancreatic trauma [2]; however, several studies have demonstrated that grade III/IV pancreatic injuries can be successfully treated with nonoperative management (NOM) [3,4,5]. Herein, we report a case of grade IV pancreatic injury that was nonoperatively managed through endoscopic and percutaneous drainage.
Case presentation
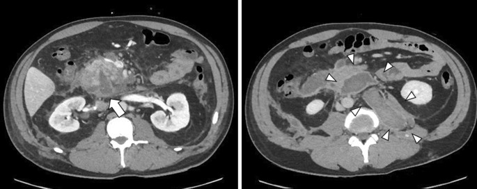
A 47-year-old Japanese man, stabbed in the back with a knife, was transferred to our emergency room. He presented with a stab-wound in his left back, and slight tenderness in his abdomen; although his hemodynamic state was unstable, it was improved by a bolus infusion. Upon blood examination, most laboratory parameters were normal, including hemoglobin and coagulation; both serum amylase and lipase levels were within normal ranges (61 U/L and 9 U/L, respectively). Contrast-enhanced computed tomography (CECT) showed extravasation of the contrast medium around the pancreatic head, as well as hematomas behind the pancreas and in the left psoas muscle (Fig. 1); no other visceral or major vascular injuries were presented. We performed abdominal arterial angiography and extravasation of the contrast medium through the inferior pancreatoduodenal artery (IPDA), revealing a pseudo aneurysm in the IPDA branch (Fig. 2). Coil embolization of the IPDA was therefore performed, and the hemodynamic state was stabilized.
On day 1, the serum amylase level was elevated (1366 U/L); however, duct injury was not confirmed via CT. Acute pancreatitis was diagnosed due to pancreatic trauma, and conservative treatment using octreotide was initiated. Additionally, magnetic resonance cholangio-pancreatography was planned to evaluate duct involvement; however, it was acknowledged that the metal clip used in a cholecystectomy performed more than 20 years prior might be contraindicative to magnetic resonance imaging. We therefore selected endoscopic retrograde cholangio-pancreatography (ERCP), as the presence of duct disruption was not completely denied.
On day 5, although ERCP was performed, the scope did not reach Vater’s papilla due to the narrow cavity of the decompressed duodenum. The serum amylase level gradually decreased and then normalized. On day 12, CT revealed a wedge-shaped, low-density area in the pancreatic head, and consecutive pseudocysts behind the pancreas and in the left psoas muscle (Fig. 3). Thereafter, a percutaneous drain was placed through the stab wound, behind the pancreatic head. On day 22, contrast radiography through the percutaneous drain revealed the proximal and distal parts of the main pancreatic duct (Fig. 4); therefore, the patient was diagnosed with AAST grade IV pancreatic injury. On day 26, an endoscopic nasopancreatic drainage (ENPD) tube was inserted across the disruption (Fig. 5), and on day 38, CECT showed a marked reduction in the fluid collection (Fig. 6). The ENPD tube was changed to an endoscopic retrograde pancreatic drainage (ERPD) tube on day 40, and he was discharged on day 61. The ERPD tube was removed 10 months later, and stenosis has not been confirmed on magnetic resonance cholangiopancreatography after 1.5 years.
Discussion
Pancreatic trauma rarely occurs when compared with other solid organ injuries of the abdomen; the incidence of pancreatic injuries among all types of trauma has been reported as 0.21−0.32% in three databases [6,7,8]. Among patients with all types of abdominal injuries, 3.1% of pancreatic injury cases were confirmed according to a review of the National Trauma Data Bank [9]. Pancreatic injury is usually associated with other abdominal traumas: liver (15.7%), vascular (15.5%), spleen (9.3%), mesenteric (8.1%), duodenum (5.8%), and kidney (5.4%) [10]. Owing to its location and proximity to other organs and major vascular structures, isolated pancreatic injuries are rare, especially in penetrating trauma; only 3% of penetrating injuries of the pancreas are isolated [10, 11].
Treatment for grade III and IV pancreatic trauma is controversial. The EAST guidelines recommend NOM for grade I and II pancreatic injuries, and operative management for grade III and IV injuries [2]. Indeed, Siboni et al. showed that NOM for severe pancreatic trauma such as grade IV or V was associated with higher mortality (nonoperative: 6%; laparotomy alone: 3%; repair/resection: 0%) [9]; however, some researchers have reported that the mortality rate of grade III and IV was not significantly different between the operative and nonoperative treatment groups (13.8% vs. 12.3%, respectively) [10], or between the resection and nonresection groups (15.1% vs. 18.4% in grade III, and 24.0% vs 27.1% in grade IV, respectively) [12]. Additionally, the length of hospital stay was not significantly different between the two groups (32 days vs. 29 days, respectively) [10]. The present case was successfully managed by NOM with endoscopic and percutaneous drainage. Although the EAST guidelines recommend operative treatment for high-grade pancreatic trauma, NOM with the appropriate drainage may be a promising treatment for grade III or IV trauma, especially at facilities with expertise in interventional radiology and endoscopy.
The treatment approaches of NOM include endoscopic ductal stenting alone, percutaneous drainage alone, endoscopic cysto-enterostomy alone, and a combination of the above. Koganti et al. reported that NOM with percutaneous drainage alone or endoscopic cyst-enterostomy alone showed a high morbidity rate, with abdominal abscess in 6/10 cases, and pseudocyst formation in 8/10 cases [13]. Kim et al. reported that NOM with endoscopic stent insertion alone resulted in pseudocyst formation in 8/11 cases, main pancreatic duct stricture in 4/11 cases, and pancreatic atrophy of the distal part in 3/11 cases [14]. In our case, complications such as abscess formation, pseudocyst formation, and duct stricture were not confirmed after drainage. We believe that the combination of ductal and percutaneous drainage facilitated the success of NOM.
The practical use of octreotide for the management of pancreatic trauma is controversial [15, 16]. The EAST guidelines conditionally recommend routine use of octreotide as a postoperative prophylaxis for traumatic pancreatic injuries to prevent fistula. However, the supporting studies are not well designed and contain a small number of the patients; therefore, further clinical trials are warranted to overcome these limitations.
Regarding pancreatic resection, parenchymal preservation is paramount with respect to endocrine and exocrine functions. After pancreatoduodenectomy (PD), up to 30% of nondiabetic patients develop postoperative, new-onset diabetes, while 14−15.5% experience persistent glucose intolerance for 1−8 years after PD. In addition, exocrine dysfunction was observed during the long-term follow-up post-PD for benign and malignant tumors in 25% and 49% of patients, respectively [17]. If operative treatment is used for grade III/IV pancreatic trauma, it is necessary to preserve pancreatic parenchyma for as long as possible.
Lin et al. investigated the long-term outcomes of stent insertion; they described that ductal stricture was a major complication [18]. Abe et al. reported the same complication after stent insertion (4); thus, follow-up of post-stenting is warranted for a period. In our case, the ERPD tube was removed after 10 months, and stenosis and atrophy have not been confirmed on magnetic resonance cholangiopancreatography after 1.5 years.
Conclusions
Here, we reported a case of successfully managed endoscopic pancreatic duct stenting and percutaneous drainage for grade IV pancreatic injury. This suggests that treatment using a combination of endoscopic and percutaneous drainage may avoid the need for operation.
Availability of data and materials
Not applicable.
Abbreviations
- AAST:
-
The American Association for the Surgery of Trauma
- CECT:
-
Contrast-enhanced computed tomography
- EAST:
-
East Association of Surgery for Trauma
- ENPD:
-
Endoscopic naso-pancreatic drainage
- ERCP:
-
Endoscopic retrograde cholangio-pancreatography
- ERPD:
-
Endoscopic retrograde pancreatic drainage
- IPDA:
-
Inferior pancreatoduodenal artery
- NOM:
-
Nonoperative management
- PD:
-
Pancreatoduodenectomy
References
Moore EE, Cogbill TH, Malangoni MA, Jurkovich GJ, Champion HR, Gennarelli TA, et al. Organ injury scaling, II: Pancreas, duodenum, small bowel, colon, and rectum. J Trauma. 1990;30(11):1427–9.
Ho VP, Patel NJ, Bokhari F, Madbak FG, Hambley JE, Yon JR, et al. Management of adult pancreatic injuries: A practice management guideline from the Eastern Association for the Surgery of Trauma. J Trauma Acute Care Surg. 2017;82:185–99.
Hiremath B, Hegde N. Non-operative management of a grade IV pancreatic injury. BMJ Case Rep. 2014;2014:1.
Abe T, Nagai T, Murakami K, Anan J, Uchida M, Ono H, et al. Pancreatic injury successfully treated with endoscopic stenting for major pancreatic duct disruption. Intern Med. 2009;48(21):1889–92.
Zala A, Gaszynski R, Punch G. Blunt trauma pancreatic duct injury managed by non-operative technique, a case study and literature review. Trauma Case Rep. 2015;1:13–6.
Scollay JM, Yip VS, Garden OJ, Parks RW. A population-based study of pancreatic trauma in Scotland. World J Surg. 2006;30(12):2136–41.
O’Reilly DA, Bouamra O, Kausar A, Malde DJ, Dickson EJ, Lecky F. The epidemiology of and outcome from pancreatoduodenal trauma in the UK, 1989–2013. Ann R Coll Surg Engl. 2015;97(2):125–30.
Englum BR, Gulack BC, Rice HE, Scarborough JE, Adibe OO. Management of blunt pancreatic trauma in children: review of the National Trauma Data Bank. J Pediatr Surg. 2016;51(9):1526–31.
Siboni S, Kwon E, Benjamin E, Inaba K, Demetriades D. Isolated blunt pancreatic trauma: a benign injury? J Trauma Acute Care Surg. 2016;81(5):855–9.
Shibahashi K, Sugiyama K, Kuwahara Y, Ishida T, Okura Y, Hamabe Y. Epidemiological state, predictive model for mortality, and optimal management strategy for pancreatic injury: a multicentre nationwide cohort study. Injury. 2019;9:8.
Ivatury RR, Nallathambi M, Rao P, Stahl WM. Penetrating pancreatic injuries. Analysis of 103 consecutive cases. Am Surg. 1990;56(2):90–5.
Mohseni S, Holzmacher J, Sjolin G, Ahl R, Sarani B. Outcomes after resection versus non-resection management of penetrating grade III and IV pancreatic injury: A trauma quality improvement (TQIP) databank analysis. Injury. 2018;49(1):27–32.
Koganti SB, Kongara R, Boddepalli S, Mohammad NS, Thumma V, Nagari B, et al. Predictors of successful non-operative management of grade III & IV blunt pancreatic trauma. Ann Med Surg (Lond). 2016;10:103–9.
Kim S, Kim JW, Jung PY, Kwon HY, Shim H, Lang JY, et al. Diagnostic and therapeutic role of endoscopic retrograde pancreatography in the management of traumatic pancreatic duct injury patients: Single center experience for 34 years. Int J Surg. 2017;42:152–7.
Amirata E, Livingston DH, Elcavage J. Octreotide acetate decreases pancreatic complications after pancreatic trauma. Am J Surg. 1994;168(4):345–7.
Nwariaku FE, Terracina A, Mileski WJ, Minei JP, Carrico CJ. Is octreotide beneficial following pancreatic injury? Am J Surg. 1995;170(6):582–5.
Berger HG, Mayer B. Early postoperative and late metabolic morbidity after pancreatic resections: an old and new challenge for surgeons—a review. Am J Surg. 2018;216:131–4.
Lin BC, Liu NJ, Fang JF, Kao YC. Long-term results of endoscopic stent in the management of blunt major pancreatic duct injury. Surg Endosc. 2006;20:1551–5.
Acknowledgements
We would like to thank Editage (http://www.editage.com) for English language editing.
Funding
The authors declare that this work was not supported by any grants or funding.
Author information
Affiliations
Contributions
HK drafted the manuscript. KO supervised the study. YH, MY, RM, ST, YU, SS, SK, YN, GN, YG, TS, RK, HS, HI and TH performed perioperative management. All authors read and approved the final manuscript.
Corresponding author
Ethics declarations
Ethics approval and consent to participate
Ethical approval and consent to participate was obtained from the Ethics Committee of Kurume University.
Consent for publication
Written informed consent was obtained from the patient for publication of this case report and any accompanying images. A copy of the written consent form is available for review by the Editor-in-Chief of this journal.
Competing interests
The authors declare that they have no competing interests.
Additional information
Publisher's Note
Springer Nature remains neutral with regard to jurisdictional claims in published maps and institutional affiliations.
Rights and permissions
Open Access This article is licensed under a Creative Commons Attribution 4.0 International License, which permits use, sharing, adaptation, distribution and reproduction in any medium or format, as long as you give appropriate credit to the original author(s) and the source, provide a link to the Creative Commons licence, and indicate if changes were made. The images or other third party material in this article are included in the article's Creative Commons licence, unless indicated otherwise in a credit line to the material. If material is not included in the article's Creative Commons licence and your intended use is not permitted by statutory regulation or exceeds the permitted use, you will need to obtain permission directly from the copyright holder. To view a copy of this licence, visit http://creativecommons.org/licenses/by/4.0/. The Creative Commons Public Domain Dedication waiver (http://creativecommons.org/publicdomain/zero/1.0/) applies to the data made available in this article, unless otherwise stated in a credit line to the data.
About this article
Cite this article
Kanno, H., Hirakawa, Y., Yasunaga, M. et al. Successful nonoperative management by endoscopic and percutaneous drainage for penetrating pancreatic duct injury: a case report. J Med Case Reports 15, 33 (2021). https://doi.org/10.1186/s13256-020-02647-8
Received:
Accepted:
Published:
DOI: https://doi.org/10.1186/s13256-020-02647-8
Keywords
- Penetrating pancreatic trauma
- Duct injury
- Nonoperative management





